El Osteoma Osteoide: Síntomas, Causas y Tratamiento

El Osteoma Osteoide es un tipo de tumor que se desarrolla en los huesos largos del cuerpo, como el fémur o la tibia. Aunque es un tumor benigno, puede causar síntomas incómodos como inflamación, enrojecimiento de la piel y dolor, especialmente por la noche.
La causa exacta del Osteoma Osteoide aún es desconocida, pero se cree que puede surgir debido a golpes o inflamación ósea. Afecta principalmente a hombres jóvenes, especialmente antes de los 25 años de edad.
Síntomas del Osteoma Osteoide
El síntoma más común del Osteoma Osteoide es el dolor en la parte afectada del cuerpo. Este dolor tiende a ser intenso y persistente, y puede empeorar durante la noche. Además del dolor, otras manifestaciones incluyen inflamación en el área afectada, enrojecimiento de la piel, deformidad en el hueso, pérdida de masa muscular, dificultad para mover la parte del cuerpo afectada y, en algunos casos, una diferencia en el tamaño de las piernas cuando una pierna está afectada.

Posibles Causas del Osteoma Osteoide
Aunque aún no se ha determinado la causa exacta del Osteoma Osteoide, se cree que este tumor puede surgir debido a una multiplicación anormal de células óseas, causada por golpes o inflamación del hueso. Este tipo de tumor afecta principalmente a hombres jóvenes entre los 5 y 25 años de edad.
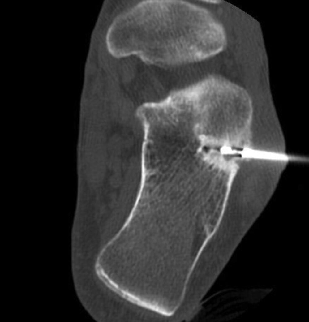
Diagnóstico del Osteoma Osteoide
El diagnóstico del Osteoma Osteoide se realiza mediante exámenes de imagen como radiografías y tomografías computarizadas. Estos exámenes permiten identificar las características óseas del tumor y confirmar su presencia. En algunos casos, también puede ser necesario realizar otros exámenes como resonancia magnética o cintigrafía ósea para obtener más información sobre el tumor.
Tratamiento del Osteoma Osteoide
El tratamiento del Osteoma Osteoide puede incluir el uso de medicamentos antiinflamatorios no esteroides para aliviar los síntomas, como el dolor y la inflamación. Estos medicamentos pueden ser eficaces para controlar los síntomas en la mayoría de los casos.
Sin embargo, en algunos casos, puede ser necesaria la cirugía para extirpar el osteoma. Esto puede ser especialmente necesario si el tumor no responde al tratamiento inicial con antiinflamatorios o si causa complicaciones graves. La cirugía para extirpar el Osteoma Osteoide suele ser exitosa y tiene una alta tasa de curación.
Contenido Adicional
¿Cómo prevenir el Osteoma Osteoide?
Para prevenir la aparición del Osteoma Osteoide, es importante mantener una alimentación equilibrada y rica en calcio y vitamina D. Estos nutrientes son fundamentales para fortalecer los huesos y prevenir el desarrollo de tumores óseos benignos. Además, es recomendable evitar lesiones y golpes en los huesos, ya que esto puede aumentar el riesgo de desarrollar este tipo de tumores.
Rehabilitación después de la cirugía de Osteoma Osteoide
Después de una cirugía para extirpar el Osteoma Osteoide, es posible que se requiera rehabilitación para recuperar la movilidad y fortalecer el área afectada. Un fisioterapeuta puede diseñar un programa de ejercicios y terapia específico para acelerar la recuperación y evitar posibles complicaciones. Es importante seguir todas las indicaciones del especialista para asegurar una recuperación completa.
Cuidados posteriores al tratamiento del Osteoma Osteoide
Después del tratamiento del Osteoma Osteoide, es necesario realizar controles regulares con el médico para asegurarse de que el tumor no regrese. Además, adoptar hábitos de vida saludables puede contribuir a mantener los huesos fuertes y prevenir la recurrencia del Osteoma Osteoide. Esto incluye mantener una dieta balanceada, rica en nutrientes esenciales, y realizar ejercicio regularmente.
Preguntas frecuentes
¿El Osteoma Osteoide es un tumor maligno?
No, el Osteoma Osteoide es un tumor benigno. Aunque puede causar síntomas incómodos, no se propaga a otros tejidos ni provoca metástasis.
¿Cuál es la edad más común para desarrollar un Osteoma Osteoide?
El Osteoma Osteoide afecta principalmente a hombres jóvenes, especialmente antes de los 25 años de edad.
¿Cuál es el tratamiento más común para el Osteoma Osteoide?
El tratamiento más común para el Osteoma Osteoide incluye el uso de medicamentos antiinflamatorios no esteroides para aliviar los síntomas. En algunos casos, puede ser necesaria la cirugía para extirpar el tumor.
¿Cuáles son los cuidados posteriores al tratamiento de un Osteoma Osteoide?
Después del tratamiento del Osteoma Osteoide, es importante realizar controles regulares con el médico para asegurarse de que el tumor no regrese. Además, adoptar hábitos de vida saludables puede contribuir a prevenir la recurrencia del tumor.
Conclusión:
El Osteoma Osteoide es un tumor benigno que afecta principalmente a hombres jóvenes. Aunque puede causar síntomas incómodos como dolor, inflamación y enrojecimiento de la piel, su tratamiento suele ser efectivo y tiene una alta tasa de curación. Es importante seguir todas las indicaciones del médico y realizar controles regulares para prevenir la recurrencia del tumor.
