El útero didelfo: una anomalía congénita rara

El útero didelfo es una anomalía congénita rara en la que una mujer tiene dos úteros, cada uno con su apertura o con ambos con el mismo cuello uterino. Esta condición puede presentarse de diferentes formas, dependiendo de la variante de útero didelfo. Algunas mujeres pueden tener dos úteros completamente separados, cada uno con su propio cuello uterino y vagina; mientras que otras pueden tener dos úteros comunicados por un tejido o septo central, que a su vez puede ser parcial o completo. Esta anomalía es poco común y se estima que afecta aproximadamente a una de cada 3.000 mujeres.
Síntomas del útero didelfo
Los síntomas del útero didelfo pueden variar de una mujer a otra, pero los más comunes incluyen:
- Dolor durante las relaciones sexuales: Debido a la división del útero, algunas mujeres pueden experimentar molestias o dolor durante las relaciones sexuales.
- Cólicos intensos antes y/o durante la menstruación: Al tener dos úteros, es posible que las mujeres con útero didelfo experimenten cólicos más intensos durante su ciclo menstrual.
- Aumento del flujo menstrual: La presencia de dos úteros puede hacer que las mujeres tengan un flujo menstrual más abundante y prolongado.
- Presión abdominal, especialmente durante la menstruación: Al tener dos úteros, algunas mujeres pueden sentir una mayor presión en la región abdominal, especialmente durante su periodo menstrual.
Además, puede haber dificultad para usar tampones internos debido a que solo hay un útero, lo que puede resultar en frecuentes fugas durante el ciclo menstrual. Algunas mujeres también pueden tener dos aberturas vaginales, lo que facilita la identificación del útero didelfo.

Impacto del útero didelfo en el embarazo
El útero didelfo puede afectar la fertilidad y el embarazo de diferentes maneras. Al tener dos úteros, puede haber dificultades para la implantación y el desarrollo del embrión en uno o ambos úteros. Esto puede aumentar el riesgo de aborto espontáneo y parto prematuro.
Además, las mujeres con útero didelfo pueden tener otras complicaciones durante el embarazo, como la posición anormal del feto, el crecimiento desigual de los bebés en cada útero, la presentación de nalgas o la necesidad de una cesárea.
Diagnóstico del útero didelfo
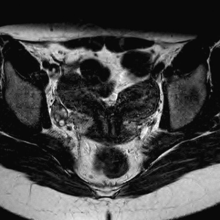
El diagnóstico del útero didelfo se realiza mediante la realización de exámenes de imagen como ultrasonidos, resonancia magnética o histerosalpingografía. Estos estudios permiten visualizar la estructura interna del útero y determinar si hay dos cavidades separadas o una división central, así como la presencia de dos cuellos uterinos.
En algunos casos, el útero didelfo puede detectarse durante una exploración ginecológica de rutina, especialmente si hay dos aberturas vaginales claramente visibles.
Información adicional
Tratamiento para el útero didelfo
En la mayoría de los casos en los que la mujer no presenta síntomas ni problemas de fertilidad, no es necesario ningún tratamiento específico para el útero didelfo. Sin embargo, es importante que las mujeres con esta condición se sometan a controles ginecológicos regulares para monitorizar cualquier posible complicación.
En casos de síntomas o abortos de repetición, el ginecólogo puede recomendar la cirugía para unir los úteros, especialmente si la mujer también tiene dos vaginas. Esta cirugía, conocida como «metroplastia», tiene como objetivo crear un solo útero unificado y puede mejorar los síntomas y la fertilidad de la mujer.
Posibles causas del útero didelfo
La causa exacta del útero didelfo no se conoce con certeza, pero se cree que está relacionada con una alteración genética durante el desarrollo de los órganos sexuales. Durante la embriogénesis, los conductos de Müller se fusionan para formar el útero y la vagina. Se cree que una interrupción en este proceso puede dar lugar a la formación de dos úteros separados.
Además, se ha observado una posible relación entre el útero didelfo y otras anomalías congénitas del sistema reproductor, como la duplicación renal o la presencia de dos vaginas. Sin embargo, se necesita más investigación para comprender completamente las causas y los mecanismos detrás de esta condición.
Preguntas frecuentes
¿El útero didelfo afecta la fertilidad?
Sí, el útero didelfo puede afectar la fertilidad debido a las dificultades para la implantación del embrión y el desarrollo del embarazo en uno o ambos úteros. Sin embargo, muchas mujeres con útero didelfo pueden concebir y llevar a término un embarazo saludable.
¿Es posible tener un parto natural con útero didelfo?
En general, el parto vaginal es posible en la mayoría de los casos de útero didelfo. Sin embargo, esto dependerá de la posición y condiciones específicas de cada útero, así como de la presencia de otras complicaciones que puedan requerir una cesárea. Es importante que las mujeres con útero didelfo discutan sus opciones de parto con su ginecólogo.
¿Se puede corregir quirúrgicamente el útero didelfo?
Sí, en algunos casos, se puede optar por una cirugía para unir los dos úteros (metroplastia) con el fin de mejorar los síntomas y la fertilidad. Sin embargo, esta opción solo se recomendará si la mujer presenta síntomas significativos o problemas de fertilidad y debe ser evaluada caso por caso.
Conclusión:
El útero didelfo es una anomalía congénita rara en la que una mujer tiene dos úteros. Esta condición puede variar en su presentación y síntomas, y puede afectar la fertilidad y el embarazo. El diagnóstico se realiza mediante exámenes de imagen y el tratamiento depende de los síntomas y la fertilidad de cada mujer. Es importante que las mujeres con útero didelfo reciban atención médica regular para el seguimiento de su condición.
