Enema opaco: Diagnóstico y preparación

¿Qué es la síndrome de Hirschsprung?
La síndrome de Hirschsprung, también conocida como megacólon congénito, es una enfermedad en la cual hay ausencia de fibras nerviosas en el intestino, lo que impide el paso de las heces. Esta enfermedad puede ser detectada en niños a través del enema opaco.

Complicaciones potenciales
Aunque las complicaciones del enema opaco son raras, pueden ocurrir reacciones alérgicas al contraste de bario, perforación o inflamación del intestino, obstrucción intestinal o estreñimiento grave. Si se presentan síntomas como inflamación abdominal, sangre en las heces, fiebre o incapacidad para defecar, es importante comunicarse con el médico o acudir al hospital.
Contraindicaciones del enema opaco
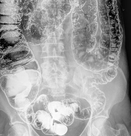
El enema opaco no debe realizarse en caso de embarazo, alergia al bario, inflamación rectal grave o si se ha realizado recientemente una biopsia rectal.El enema opaco es una técnica de diagnóstico utilizada para evaluar el intestino grueso, el colon, el recto y el ano mediante rayos X y la administración de un contraste de sulfato de bario. Este examen permite detectar posibles problemas intestinales como pólipos, diverticulitis o enfermedades inflamatorias del intestino.
Durante el enema opaco, se le pedirá al paciente que siga ciertas instrucciones para prepararse adecuadamente para el examen. Esto puede incluir seguir una dieta baja en fibras y grasas, tomar laxantes y medicamentos para reducir los gases intestinales, y realizar una limpieza del intestino mediante el uso de un enema.
Una vez que el paciente está preparado, el examen de enema opaco puede llevarse a cabo. El procedimiento se realiza sin anestesia y generalmente dura alrededor de 40 minutos. Se introduce una sonda rectal y se administra el contraste de bario. Luego se realizan varios rayos X para evaluar el intestino y obtener imágenes claras de posibles anomalías.
Después del enema opaco, es común experimentar estreñimiento durante unos días y notar un cambio en el color de las heces, que pueden volverse blancas o grises debido al contraste. Para aliviar el estreñimiento, se recomienda aumentar la ingesta de alimentos ricos en fibras y beber suficiente agua.
Además de ser utilizado para diagnosticar diversas enfermedades intestinales, el enema opaco también puede ser útil para detectar la presencia de la síndrome de Hirschsprung en los niños. Esta enfermedad, también conocida como megacólon congénito, se caracteriza por la ausencia de fibras nerviosas en el intestino, lo que impide el paso normal de las heces.
Si bien las complicaciones del enema opaco son raras, pueden ocurrir reacciones alérgicas al contraste de bario, perforación o inflamación del intestino, obstrucción intestinal o estreñimiento grave. En caso de experimentar síntomas como inflamación abdominal, sangre en las heces, fiebre o dificultad para defecar después del examen, es importante comunicarse con el médico o acudir al hospital.
Conclusión, el enema opaco es un examen de diagnóstico utilizado para evaluar el intestino grueso y diagnosticar diversas enfermedades intestinales. Es importante seguir las recomendaciones médicas para prepararse adecuadamente para el examen y seguir los cuidados posteriores para garantizar una recuperación sin complicaciones. Siempre es fundamental comunicar cualquier síntoma preocupante al médico para su evaluación y seguimiento adecuado.
Preguntas frecuentes
¿El enema opaco es doloroso?
No, el enema opaco generalmente no es doloroso. Puede haber una ligera incomodidad o presión durante la administración del contraste, pero en general es bien tolerado por los pacientes.
¿Hay algún riesgo de radiación durante el enema opaco?
El enema opaco implica el uso de rayos X, que implican una exposición mínima a la radiación. Los beneficios diagnósticos del examen generalmente superan los posibles riesgos asociados con la radiación.
¿Cuándo recibiré los resultados del enema opaco?
Los resultados del enema opaco suelen estar disponibles en un plazo de 1 a 2 días después del examen. El médico revisará las imágenes obtenidas y proporcionará un informe detallado con los hallazgos y recomendaciones pertinentes.
¿Es necesario hacer ayuno antes del enema opaco?
En general, se recomienda seguir una dieta específica el día anterior al examen y hacer una dieta líquida el día antes del enema opaco. Es importante seguir las instrucciones específicas proporcionadas por el médico para prepararse adecuadamente para el examen.
¿Puedo conducir después del enema opaco?
Si no se utiliza anestesia durante el examen, generalmente no hay restricciones para conducir después del enema opaco. Sin embargo, es posible que se sienta algo cansado o mareado después del examen, por lo que se recomienda descansar adecuadamente antes de emprender cualquier actividad que requiera atención y concentración.
¿Puedo comer normalmente después del enema opaco?
Después del enema opaco, se recomienda aumentar la ingesta de alimentos ricos en fibras y beber suficiente agua para prevenir el estreñimiento y promover una recuperación adecuada. Sin embargo, es importante seguir las recomendaciones específicas proporcionadas por el médico en cuanto a la alimentación posterior al examen.
