Fibrosis Pulmonar: Síntomas, Diagnóstico y Tratamiento

La fibrosis pulmonar es una enfermedad crónica que afecta a los pulmones y se caracteriza por la formación de cicatrices en los tejidos pulmonares. Estas cicatrices hacen que los pulmones se vuelvan más rígidos y endurecidos, lo que dificulta la respiración. La fibrosis pulmonar puede ser causada por diferentes factores, como la exposición prolongada a sustancias tóxicas como sílice o amianto, enfermedades autoinmunes, efectos secundarios de medicamentos y el hábito de fumar.
Los síntomas de la fibrosis pulmonar pueden variar en intensidad y duración dependiendo de cada persona. Algunos de los síntomas más comunes incluyen falta de aire, tos seca o con poca secreción, sensación de ruido o silbido en el pecho al respirar, respiración rápida y agitada, sensación de opresión en el pecho, dolor en los músculos o articulaciones, cansancio excesivo, falta de apetito, pérdida de peso inexplicada, dedos azules o morados y ensanchamiento de la punta de los dedos y de las uñas, conocido como baqueteamiento digital.
«La fibrosis pulmonar es una enfermedad crónica que afecta a los pulmones y se caracteriza por la formación de cicatrices en los tejidos pulmonares.»
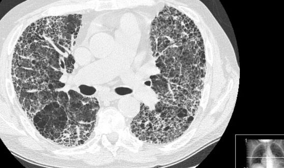
El diagnóstico de la fibrosis pulmonar se realiza mediante la evaluación de los síntomas, el historial médico, los hábitos de vida y un examen físico realizado por un neumólogo. También se pueden realizar diferentes pruebas para confirmar el diagnóstico, como la oximetría para medir los niveles de oxígeno en sangre, análisis de sangre y pruebas de función pulmonar para evaluar la capacidad respiratoria, y radiografías o tomografías computarizadas para evaluar los daños en los pulmones. Es importante buscar atención médica ante la presencia de estos síntomas y realizar todas las pruebas necesarias para llegar a un diagnóstico preciso.
Causas de la fibrosis pulmonar
Existen diferentes causas que pueden contribuir al desarrollo de fibrosis pulmonar. Algunas de ellas incluyen:
- Historia familiar de fibrosis pulmonar: tener parientes cercanos con antecedentes de fibrosis pulmonar aumenta el riesgo de padecer esta enfermedad.
- Hábito de fumar: el tabaquismo es uno de los principales factores de riesgo para el desarrollo de diferentes enfermedades pulmonares, incluida la fibrosis pulmonar.
- Historial de enfermedades pulmonares: haber tenido enfermedades pulmonares previas, como tuberculosis o neumonía, puede aumentar el riesgo de desarrollar fibrosis pulmonar.
- Trabajo en ambientes con toxinas: la exposición prolongada a polvo, gases o productos químicos tóxicos en el entorno laboral puede aumentar el riesgo de desarrollar fibrosis pulmonar.
- Exposición a heces de aves o animales: la exposición frecuente a las heces de aves o animales puede aumentar el riesgo de desarrollar diferentes enfermedades pulmonares, incluida la fibrosis pulmonar.
- Tratamiento con radioterapia o quimioterapia: el tratamiento con radioterapia o quimioterapia puede tener efectos secundarios en los pulmones y aumentar el riesgo de desarrollar fibrosis pulmonar.
- Uso de medicamentos: ciertos medicamentos, como la amiodarona o la sulfasalazina, pueden tener efectos secundarios en los pulmones y aumentar el riesgo de desarrollar fibrosis pulmonar.
- Enfermedades autoinmunes o inflamatorias: enfermedades como la artritis reumatoide, la esclerosis sistémica o el lupus eritematoso pueden aumentar el riesgo de desarrollar fibrosis pulmonar.

Tratamiento de la fibrosis pulmonar
El tratamiento de la fibrosis pulmonar se basa en controlar y aliviar los síntomas, así como prevenir la progresión de la enfermedad. Algunas opciones de tratamiento incluyen:
- Uso de medicamentos antifibróticos: existen medicamentos antifibróticos que ayudan a prevenir la formación de cicatrices en los pulmones y a reducir la progresión de la enfermedad.
- Fisioterapia respiratoria: la fisioterapia respiratoria puede ayudar a mejorar la capacidad respiratoria y la calidad de vida de las personas con fibrosis pulmonar.
- Oxigenoterapia: en casos más avanzados, puede ser necesario utilizar oxigenoterapia para aumentar los niveles de oxígeno en sangre y mejorar la respiración.
- Trasplante de pulmón: en casos más graves y en los que otros tratamientos no han sido efectivos, el trasplante de pulmón puede ser una opción para mejorar la capacidad respiratoria y la calidad de vida.
Información adicional
Además de los tratamientos convencionales, existen otras medidas que pueden ser útiles para prevenir la fibrosis pulmonar y mejorar la calidad de vida de las personas afectadas. Algunos consejos incluyen:
- Evitar la exposición prolongada a sustancias tóxicas y al polvo, especialmente en el entorno laboral.
- Dejar de fumar, ya que el tabaquismo es uno de los principales factores de riesgo para el desarrollo de enfermedades pulmonares.
- Mantener una buena higiene pulmonar, evitando ambientes húmedos con moho o polvo y manteniendo una buena ventilación en el hogar.
En cuanto a las investigaciones y avances en el tratamiento de la fibrosis pulmonar, se están realizando diferentes estudios para desarrollar nuevos medicamentos y terapias que puedan frenar e incluso revertir la progresión de la enfermedad. Estos avances en la investigación son fundamentales para mejorar la calidad de vida de las personas afectadas por esta enfermedad.
Es importante tener en cuenta que cada caso de fibrosis pulmonar es único, por lo que el tratamiento debe ser individualizado y adaptado a las necesidades de cada paciente. Además, es fundamental seguir las indicaciones del médico y realizar un seguimiento regular para evaluar la progresión de la enfermedad y ajustar el tratamiento si es necesario.
Preguntas frecuentes
A continuación, se presentan algunas preguntas frecuentes sobre la fibrosis pulmonar:
1. ¿La fibrosis pulmonar tiene cura?
No existe una cura definitiva para la fibrosis pulmonar, pero existen diferentes tratamientos que pueden ayudar a controlar los síntomas y prevenir la progresión de la enfermedad. El trasplante de pulmón puede ser una opción en casos más graves.
2. ¿Qué puedo hacer para prevenir la fibrosis pulmonar?
Para prevenir la fibrosis pulmonar, es importante evitar la exposición prolongada a sustancias tóxicas y al polvo, dejar de fumar y mantener una buena higiene pulmonar.
3. ¿Cómo puedo mejorar mi calidad de vida si tengo fibrosis pulmonar?
Para mejorar la calidad de vida si se tiene fibrosis pulmonar, es recomendable seguir todas las indicaciones del médico, realizar fisioterapia respiratoria, utilizar oxigenoterapia si es necesario y cuidar la higiene pulmonar. Además, es esencial contar con un buen apoyo emocional y social.
Conclusión, la fibrosis pulmonar es una enfermedad crónica que se caracteriza por la formación de cicatrices en los pulmones. Los síntomas pueden variar, pero incluyen falta de aire, tos seca, sensación de ruido en el pecho al respirar y cansancio excesivo. El diagnóstico se realiza mediante la evaluación de los síntomas, historia médica y pruebas específicas. El tratamiento puede incluir el uso de medicamentos antifibróticos, fisioterapia respiratoria, oxigenoterapia y, en casos graves, el trasplante de pulmón. Es importante prevenir la exposición a sustancias tóxicas y al polvo, dejar de fumar y mantener una buena higiene pulmonar. La investigación continúa avanzando en el desarrollo de nuevos tratamientos y terapias para mejorar la calidad de vida de las personas con fibrosis pulmonar. Recuerda siempre consultar a un médico para recibir un diagnóstico y tratamiento adecuados.
Conclusión:
La fibrosis pulmonar es una enfermedad crónica que causa cicatrices en los pulmones y dificulta la respiración. Puede ser provocada por la exposición a sustancias tóxicas, el tabaquismo y enfermedades autoinmunes, entre otros factores. Los síntomas incluyen falta de aire, tos seca y cansancio excesivo. El diagnóstico se realiza a través de pruebas médicas y el tratamiento puede incluir medicamentos, fisioterapia y oxigenoterapia. Es importante adoptar medidas preventivas y buscar atención médica para controlar la enfermedad.
