Tumor cerebral: síntomas y diagnóstico

El diagnóstico de un tumor cerebral puede ser alarmante y preocupante. Por eso, es importante conocer los síntomas que pueden aparecer y estar alerta ante cualquier cambio en nuestra salud.
«La salud es el mayor tesoro que tenemos, cuidémosla y atendamos cualquier señal de nuestro cuerpo».
Si sospechas que puedes tener un tumor cerebral, es importante conocer cuáles son los síntomas más comunes. Algunos de los síntomas que pueden indicar la presencia de un tumor cerebral incluyen dolores de cabeza persistentes, visión borrosa o disminuida, convulsiones, náuseas y vómitos inexplicables, falta de equilibrio, cambios en el humor y el comportamiento, entumecimiento, hormigueo o debilidad en una parte del cuerpo, y somnolencia excesiva.
Localización y síntomas específicos
Dependiendo de la región del cerebro en la que se encuentre el tumor, los síntomas pueden variar. A continuación, se detallan algunos de los síntomas específicos según la región afectada:
Lóbulo frontal
Los tumores en el lóbulo frontal pueden causar dificultad para mover las piernas o los brazos, sensación de hormigueo, dificultad para prestar atención, pérdida del sentido del olfato, cambios frecuentes de humor y personalidad.
Lóbulo parietal
Los tumores en el lóbulo parietal pueden causar alteraciones en el tacto, dificultad para percibir el calor o el frío, dificultad para nombrar objetos, dificultad para leer o escribir, dificultad para distinguir el lado derecho del izquierdo y pérdida de coordinación motora.
Lóbulo temporal
Los tumores en el lóbulo temporal pueden causar pérdida gradual de la audición, dificultad para comprender lo que se le dice, problemas de memoria, disminución del interés sexual, dificultad para reconocer rostros familiares y comportamiento agresivo.
Lóbulo occipital
Los tumores en el lóbulo occipital pueden causar alteraciones en la visión, como visión borrosa o puntos negros, dificultad para identificar colores, dificultad para leer o escribir.
Cerebelo
Los tumores en el cerebelo pueden causar dificultad para mantener el equilibrio, pérdida de coordinación para movimientos precisos, dificultad para caminar, temblores y náuseas.

Diagnóstico y tratamientos
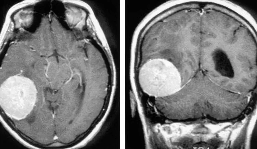
Si experimentas uno o más de estos síntomas, es fundamental acudir a un neurólogo para realizar una evaluación exhaustiva. El diagnóstico de un tumor cerebral se realiza a través de la realización de exámenes específicos, como una resonancia magnética o una tomografía computarizada. Estos exámenes permiten evaluar el tamaño y las características de las células tumorales, lo que ayuda al médico a determinar el mejor tratamiento.
En algunos casos, el médico puede recomendar una biopsia para obtener una muestra del tumor y determinar si es maligno o benigno. Esto es necesario para establecer el enfoque terapéutico más adecuado y proporcionar el mejor cuidado al paciente.
El tratamiento para los tumores cerebrales puede variar según el tipo, tamaño y ubicación del tumor. Algunas de las opciones de tratamiento incluyen la cirugía para extirpar el tumor, la radioterapia para destruir las células cancerosas y la quimioterapia para frenar el crecimiento de las células tumorales.
Es fundamental consultar con un equipo médico especializado para recibir un tratamiento adecuado y obtener un seguimiento constante durante todo el proceso. El apoyo emocional y psicológico también juega un papel importante en el proceso de tratamiento y recuperación.
Información adicional
Factores de riesgo y prevención de tumores cerebrales
Además de conocer los síntomas y tratamientos, es importante tener en cuenta los factores de riesgo de desarrollar un tumor cerebral. Algunos de los factores de riesgo incluyen:
– Exposición frecuente a radiación, como en terapias de radiación contra el cáncer.
– Antecedentes familiares de tumores cerebrales o síndromes familiares que aumenten el riesgo.
– Tener cáncer en otra parte del cuerpo, ya que las metástasis pueden propagarse y promover el desarrollo de células cancerosas en el cerebro.
Si tienes factores de riesgo, es importante realizar controles médicos regulares y llevar un estilo de vida saludable para reducir las posibilidades de desarrollar un tumor cerebral.
Preguntas frecuentes
1. ¿Cuáles son los principales síntomas de un tumor cerebral?
Los principales síntomas de un tumor cerebral incluyen dolores de cabeza persistentes, visión borrosa o disminuida, convulsiones, náuseas y vómitos inexplicables, falta de equilibrio, cambios en el humor y el comportamiento, entumecimiento, hormigueo o debilidad en una parte del cuerpo, y somnolencia excesiva.
2. ¿Cómo se diagnostica un tumor cerebral?
El diagnóstico de un tumor cerebral se realiza a través de exámenes específicos, como una resonancia magnética o una tomografía computarizada. Estos exámenes permiten evaluar el tamaño y las características de las células tumorales.
3. ¿Cuál es el tratamiento para los tumores cerebrales?
El tratamiento para los tumores cerebrales puede incluir cirugía, radioterapia y quimioterapia, dependiendo del tipo, tamaño y ubicación del tumor.
4. ¿Existen formas de prevenir los tumores cerebrales?
Si bien no hay formas seguras de prevenir los tumores cerebrales, es importante llevar un estilo de vida saludable y realizar controles médicos regulares. Además, evita la exposición frecuente a la radiación y conoce tus antecedentes familiares de tumores cerebrales.
Conclusión:
Los tumores cerebrales pueden ser una situación preocupante, pero es importante estar informado sobre los síntomas, diagnóstico y tratamientos disponibles. Si experimentas algún síntoma, no dudes en acudir a un médico especialista para recibir la atención adecuada. Recuerda que el diagnóstico temprano y el tratamiento oportuno son fundamentales para mejorar las perspectivas de salud.
